Encontrar
Pesquisar
Menu
Entrar
Cadastre-se
Anúncio Gratuito
Início
Clínicas Odontológicas
Odontologia Vitória em Anápolis
Fotos
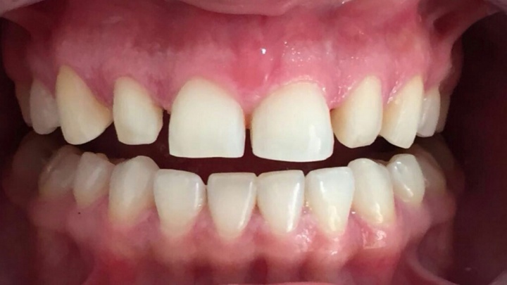
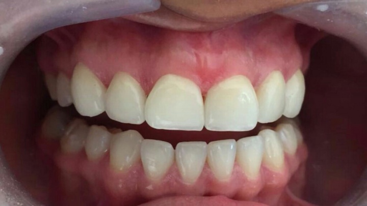
Estética
Odontologia Vitória
Clínicas Odontológicas
www.odontologiavitoria.com.br
Redes sociais:
Implantes e Aparelhos Ortodônticos
*Restaurações
*Raio-x
*Clareamento
*Tratamento de Canal
Informar um erro
Informações
Fotos
Estética
Odontopediatria (atendimento infantil)
Ortodontia
Protese
Tratamento de Canal
Implantes
Clareamento a Laser como funciona?
10 dicas para uma boa saúde bucal